Verrenkungen: Unterschied zwischen den Versionen

Aus KiwiThek
Wechseln zu: Navigation, Suche
Zeile 1: Zeile 1:
 
{{2SpaltenLayout|Text=
 
{{2SpaltenLayout|Text=
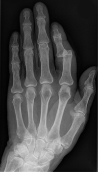
Hierbei kommt es zu einer Verschiebung zweier durch ein Gelenk verbundener Knochenenden.
+
Bei einer Verrenkung oder Ausrenkung kommt es zu einer Verschiebung zweier durch ein Gelenk verbundener Knochenenden.<br />
 
Dabei können die Gelenkpartner oft nicht mehr in die normalen Gelenkstellungen zurückkehren. Als Folge entstehen Kapsel- und Bandzerreißungen.
 
Dabei können die Gelenkpartner oft nicht mehr in die normalen Gelenkstellungen zurückkehren. Als Folge entstehen Kapsel- und Bandzerreißungen.
  
|Bilder=[[Datei:.jpg|thumb|200px|center|]]}}
+
|Bilder=[[Datei:Ausgerenkter_Zeigefinger.jpg|thumb|200px|center|Röntgenbild eines ausgerenkten Zeigefingers]]}}
{{IndexPic|[[Datei:.jpg|thumb|200px|center|]]}}
 
  
 
==== Sofortmaßnahmen ====
 
==== Sofortmaßnahmen ====
Zeile 14: Zeile 13:
 
Schonende Einrenkung, evtl. mit Narkose durch den Arzt. Das Gelenk sollte für mehrere Tage geschont und entlastet werden. In der Rehabilitation helfen Mobilisations- und Kräftigungsübungen beim Heilungsprozess. Eine volle sportliche Belastbarkeit ist erst nach schmerzfreier Gelenkfunktion gegeben. Bei häufig wiederkehrenden Verrenkungen kann eine Operation erforderlich sein um dadurch eine bessere Gelenkstabilität zu erreichen.
 
Schonende Einrenkung, evtl. mit Narkose durch den Arzt. Das Gelenk sollte für mehrere Tage geschont und entlastet werden. In der Rehabilitation helfen Mobilisations- und Kräftigungsübungen beim Heilungsprozess. Eine volle sportliche Belastbarkeit ist erst nach schmerzfreier Gelenkfunktion gegeben. Bei häufig wiederkehrenden Verrenkungen kann eine Operation erforderlich sein um dadurch eine bessere Gelenkstabilität zu erreichen.
  
|Bilder=[[Datei:.jpg|thumb|200px|center|]]}}
+
|Bilder=[[Datei:Ausgerenkter_Ellbogen.jpg|thumb|150px|center|Röntgenbild eines ausgerenkten Ellbogen]]}}
  
 
== Schulterverrenkung ==
 
== Schulterverrenkung ==
Zeile 34: Zeile 33:
  
 
<div class="imagelink_anker" title="nach oben">[[#top|&nbsp;]]</div>
 
<div class="imagelink_anker" title="nach oben">[[#top|&nbsp;]]</div>
|Bilder=[[Datei:.jpg|thumb|200px|center|]]}}
+
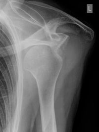
|Bilder=<br /><br /><br /><br />[[Datei:Ausgerenkte_Schulter.jpg|thumb|200px|center|Röntgenbild einer ausgerenkten Schulter]]}}
  
 
== Sonstiges ==
 
== Sonstiges ==

Version vom 13. Januar 2011, 12:24 Uhr

Röntgenbild eines ausgerenkten Zeigefingers

Bei einer Verrenkung oder Ausrenkung kommt es zu einer Verschiebung zweier durch ein Gelenk verbundener Knochenenden.
Dabei können die Gelenkpartner oft nicht mehr in die normalen Gelenkstellungen zurückkehren. Als Folge entstehen Kapsel- und Bandzerreißungen.


Sofortmaßnahmen

Datei:Ausgerenkter Ellbogen.jpg
Röntgenbild eines ausgerenkten Ellbogen

Pause, Entlastung, Hochlagerung, anschließend Transport ins Krankenhaus

Folgebehandlung

Schonende Einrenkung, evtl. mit Narkose durch den Arzt. Das Gelenk sollte für mehrere Tage geschont und entlastet werden. In der Rehabilitation helfen Mobilisations- und Kräftigungsübungen beim Heilungsprozess. Eine volle sportliche Belastbarkeit ist erst nach schmerzfreier Gelenkfunktion gegeben. Bei häufig wiederkehrenden Verrenkungen kann eine Operation erforderlich sein um dadurch eine bessere Gelenkstabilität zu erreichen.


Schulterverrenkung





Röntgenbild einer ausgerenkten Schulter

Eine Schulterverrenkung wird häufig durch einen Sturz auf den ausgestreckten Arm oder durch einen starken Zug am Arm ausgelöst. Diese Verletzung treten häufig beim Skifahren, Eishockey, Handball oder Turnen auf.

Bei einer „ausgekugelten“ Schulter steht der Oberarm seitlich vom Körper ab, die normalen Umrisse des Schultergelenks sind verändert, der ausgerenkte Oberarmkopf und die Gelenkpfanne sind tastbar.

Sofortmaßnahmen

Den Arm in einer Schlinge ruhig stellen und Arztin bzw. Arzt aufsuchen. Es sollte nach Möglichkeit kein Versuch unternommen werden, den Arm selbst einzurenken. Denn dabei können Nerven und Gefäße geschädigt werden.

Folgebehandlung

Schnellstmögliche, fachgerechte Einrenkung mit oder ohne Narkose. Anschließend erfolgt eine Ruhigstellung der Schulter für einige Tage oder Wochen. Eine Operation kann bei jungen Sportlern oder schulterbelastenden Sportarten sinnvoll sein.

Vorbeugung

Schutzausrüstung (zB beim Eishockey) und eine gut entwickelte und trainierte Muskulatur im Schulterbereich


Sonstiges

zurück zu den Sportverletzungen
zurück zur Hauptseite